INTERET d’UN TRAITEMENT PAR ALIGNEURS EN AMONT DE FACETTES.

Dr Camille Laulan, dentiste spécialisée en pédodontie et orthodontie par aligneurs et conférencière

 

Désormais les aligneurs font partie intégrante de l’arsenal thérapeutique des omnipraticiens. Utilisés en amont de techniques restauratrices, ils permettent des soins
plus conservateurs et plus esthétiques, tout en s’inscrivant parfaitement dans le respect du gradient thérapeutique. (1,2)

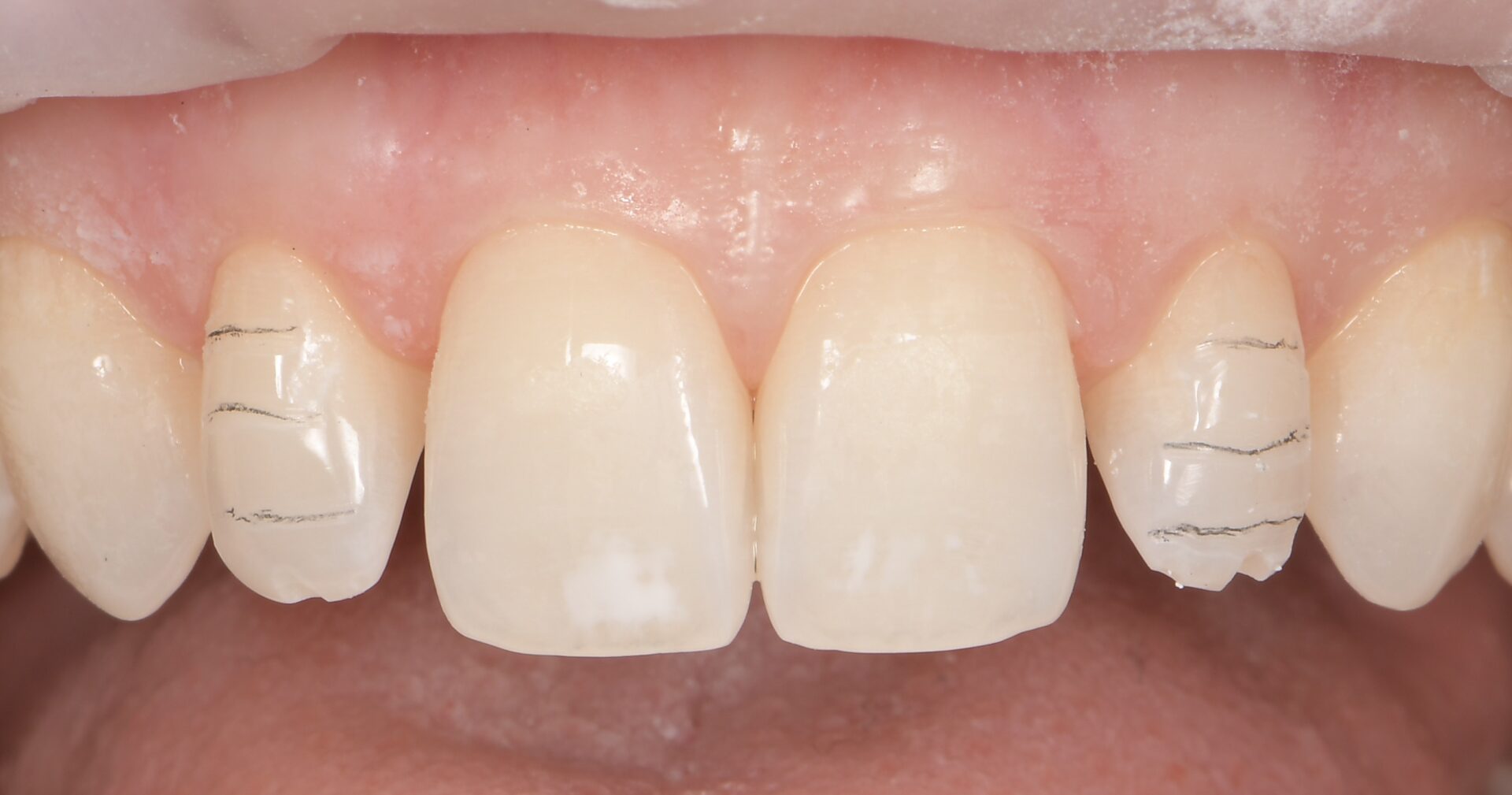
Pour ce cas clinique, la patiente avait déjà eu un traitement d’orthodontie avec extraction d’une seconde prémolaire définitive et de trois secondes molaires lactéales (agénésies des germes sous jacents). Des espaces se sont créer de façon non harmonieuse, accentuant la dysharmonie dento-maxillaire. (3)

Après moins de 6 mois de traitement par aligneurs, les espaces ont été réaménagés afin de fermer les espaces résiduels en postérieur et de répartir l’espace antérieur restant de part et d’autre des latérales en vue de réalisation de facettes en céramique collées. (4) (Figures 1,2, 3 et 4)

 

formation dentaire Invisalign go formation dentaire Invisalign go

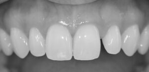
Figures 1 et 2 : Vues frontales et occlusale maxillaire du plan de traitement virtuel avant le traitement par aligneurs.

 

formation dentaire Invisalign go formation dentaire Invisalign go

Figures 3 et 4 : // après traitement.

 

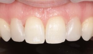
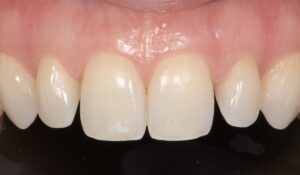
A la fin de cette première phase de traitement, la situation était bien plus idéale pour le passage à la phase prothétique (Figure 5).

 

formation dentaire Invisalign go

Figure 5 : Résultat intra-oral maxillaire post traitement par aligneurs.

 

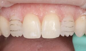
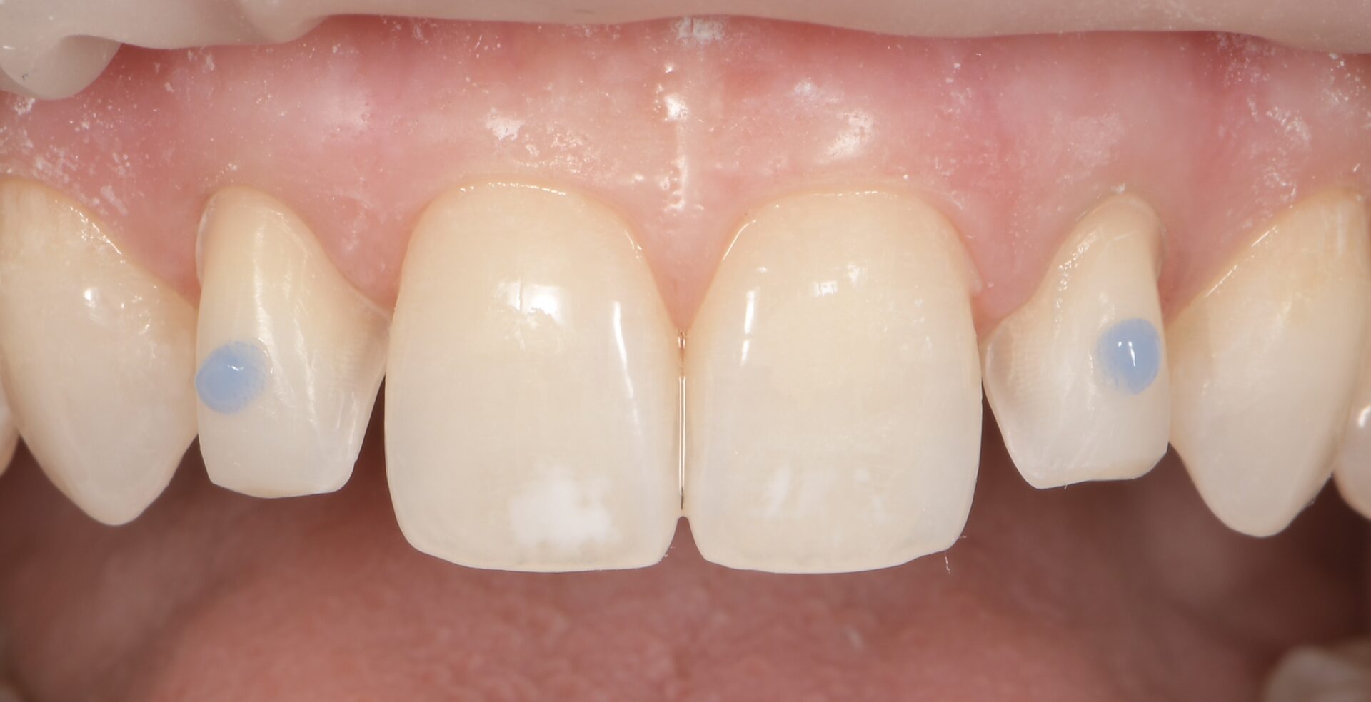
De plus, un des intérêts des plans de traitements virtuels sont qu’ils sont fiables et reproductibles. De ce fait, la dernière étape du plan de traitement virtuel a pu être exportée (en format STL) et transmise au laboratoire afin que ce dernier puisse réaliser le wax-up virtuel et le mock-up. Cela permet de gagner une étape clinique et de passer directement à la validation du mock-up en bouche après la fin de l’alignement, sans repasser par une prise d’empreinte. (5) (Figure 6)

formation dentaire Invisalign go

Figure 6 : Vlidation du projet esthétique grâce au mock-up en bouche.

 

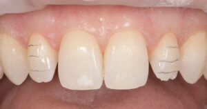
La préparation à travers le mock-up va permettre une préservation tissulaire maximale tout en garantissant une épaisseur de céramique, régulière et suffisante, pour un travail optimal du laboratoire.

formation dentaire Invisalign go formation dentaire Invisalign go

Figure 7 et 7 bis : Préparations à travers le mock-up.

 

formation dentaire Invisalign go

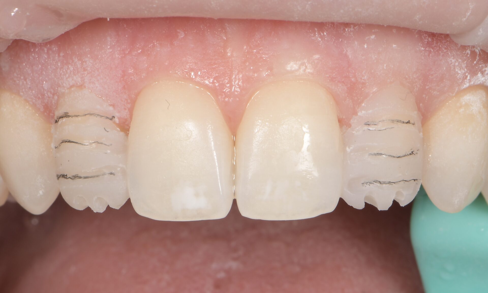
Figure 8 : Préparations minimales pour facettes sur 12 et 22.

 

formation dentaire Invisalign go formation dentaire Invisalign go

Figure 9 et 9 bis: Travail du laboratoire (Global Esthetics Bordeaux).

 

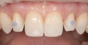
Un autre intérêt des méthodes de planification et de travail virtuel dans ces cas de figure, réside dans l’anticipation de la fabrication de la contention provisoire. En effet, grâce au modèle imprimé, il est aisé de demander au laboratoire une contention amovible. La phase de contention post traitement d’orthodontie, étant une étape clé de la pérennité du résultat, elle n’est pas à négliger le temps de la phase purement prothétique de notre plan de traitement. (5)

L’assemblage a été réalisé de façon conventionnelle, à l’aide d’une digue (unitaire), et d’un composite de collage (Figure 10).

 

formation dentaire Invisalign go

Figure 10 : Collage sous digue unitaire.

 

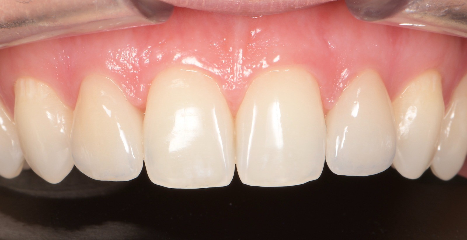
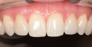
Le résultat à une semaine post collage est très satisfaisant et par rapport à la situation initiale, il est évident qu’un traitement purement prothétique aurait été moins convenable en terme de préservation tissulaire et de rendu esthétique. (6) (Figure 11 et 11bis).

 

formation dentaire Invisalign go INTERET d'UN TRAITEMENT PAR ALIGNEURS EN AMONT DE FACETTES.

Figure 11 et 11 bis : Résultat à J+7 et comparatif avec la situation initiale.

 

De nos jours, les aligneurs en omnipratique, sont devenus des alliés de choix, pour une dentisterie moderne et plus conservatrice. (7)

 

(1)- Tirlet G, Attal J-P. Le gradient thérapeutique un concept médical pour les traitements esthétiques.
Inf Dent 2009 Vol 91(41/42) : 2561-2568
(2)- Muller C. Malpositions antérieures: la solution est souvent orthodontique. Inf Dent 2009, Vol
91(41/42) : 2577-2582
(3)- Dueled E, Gotfredsen K, Trab Damsgaard M, Hede B. Professional and patient-based evaluation
of oral rehabilitation in patients with tooth agenesis. Clin Oral Implants Res. 2009; 20 (7): 729-36.
(4)- Lasserre J-F, Jacquemont M, Lai C. Incisives riziformes gradient thérapeutique et odf,
éclaircissement, forme de la préparation. www.lefildentaire.com. 2019.
(5)- Dahan S, Boissi N. Le set-up numérique la révolution de l’orthodontie digitale.
www.lefildentaire.com. 2019.
(6)- Edelhoff D, Prandtner O, Saeidi Pour R, Liebermann A, Stimmelmayr M, Güth J-F. Anterior
restaurations: The performance of ceramic veneers. Quint int. 2018;49(2):89-101
(7)- Hacmoun D. Intégration des aligneurs Invisalign en omnipratique : comment optimiser les
résultats esthétiques. www.lefildentaire.com. 2021.

Panier

()

Date : -

-
+
PROCÉDER À LA COMMANDE Continuer vos achats