Péri-implantites : une pandémie sans vaccin.

Par Amandine Para – Chirurgien-dentiste sur Paris et Intervenante cours “Laser & Omnipratique”

 

Les maladies péri-implantaires se manifestent par des mucosites et des péri-implantites. Jusqu’à 100 millions d’implants dentaires peuvent être infectés dans le monde entier.

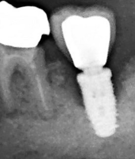
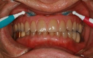
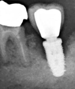
Au stade de « péri-implantite » il s’agit d’une atteinte inflammatoire des tissus mous entourant un implant. Le diagnostic clinique comprend un saignement au sondage, avec une suppuration quasi systématique, et une profondeur de poche péri-implantaire supérieure ou égale à 5 mm. Radiographiquement, un aspect radioclair de déminéralisation osseuse marginale supérieure ou égale à 2 mm entoure une partie plus ou moins étendue du corps de l’implant (fig 1 et 2).

formation dentaire laser

 

Figure 1: suppuration au sondage d’une molaire atteinte de péri-implantite

formation dentaire laser

Figure 2: aspect radiographique de la perte osseuse confirmant la péri-implantite

Une récente méta-analyse a permis d’estimer la prévalence moyenne de la mucosite péri-implantaire à 43 % et de la péri-implantite à 22 %, pondérée par le délai de mise en fonction (Poli et al 2017). L’incidence de la péri-implantite tend à augmenter avec le délai de mise en fonction : plus les implants sont en bouche depuis longtemps, plus le risque de péri-implantite augmente. Elle concerne 20 % des patients sur une période de cinq à dix ans après la pose (Derks et Tomasi, 2015).

Le profil microbiologique de la péri-implantite se compose de microorganismes agressifs et résistants, plus diversifié et plus complexe que celui de la parodontite. Il semble que les infections péri-implantaires ne soient pas une conséquence directe de la présence d’espèces  parodontopathogènes en soi (Rakic et al 2016). Les microbiotes parodontal et péri-implantaire représentent en effet des écosystèmes micro- biologiquement distincts. La seule proximité géographique n’est pas un déterminant suffisant pour la colonisation de niches distinctes entre les dents et les implants (Lafaurie et al., 2017).

Le risque de survenue de pathologies péri-implantaires est majoré chez les patients présentant un ou plusieurs facteurs de risque (Ting et al 2018) : mauvaise hygiène, tabac, antécédent de maladie parodontale, ciment résiduel dans le sillon. Aucune relation significative n’a pu être établie entre le diabète et l’échec implantaire.

 

1/ Profil des défauts péri-implantaires

À l’heure actuelle, on recense une dizaine de classifications des péri-implantites.

Schwarz et al. ont introduit une classification très utilisée décrivant l’anatomie des défauts osseux péri-implantaires. Cette classification ne fournit pas de renseignements sur le potentiel de guérison d’un défaut serait utile pour le praticien.

En 2019, une nouvelle classification dénommée APARA (Assessment of Peri-implantitis Apparearance and Repairing Approach) est proposée dans l’ouvrage « Péri-implantites : approche thérapeutique » pour guider le praticien dans la démarche thérapeutique à mettre en œuvre.

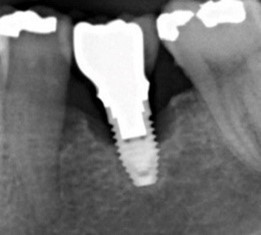
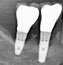
➜ la situation osseuse « PA » (Peri-implantitis Apparearance) comprend 5 classes PA0 à PA4 (fig. 3 à 6). établies selon les critères suivants: le nombre d’implants adjacents atteints (un seul implant, deux implants, ou au moins trois implants atteints), l’importance de la perte osseuse (selon le pourcentage de la hauteur d’implant qui a perdu de l’os : < 60 % ou > 60 %), le nombre de parois osseuses restantes autour du défaut (aucune, ou au moins une paroi).

formation dentaire laser

Figure 3: exemple de péri-implantite PA1b ( Perte osseuse < 60 % de la hauteur implantaire, défaut de 1 à 4 parois avec cratère < 3 mm)

formation dentaire laser

Figure 4: exemple de périimplantite PA2c (perte osseuse moins de 60 % de la hauteur implantaire, défaut de 1 à 4 parois avec cratère > 3 mm sur les deux implants)

formation dentaire laser

Figure 5 : exemple de périimplantite PA3a (perte osseuse < 50 % de la hauteur des implants adjacents séparés de moins de 3 mm, avec ou sans cratère)

formation dentaire laser

Figure 6 : exemple de péri-implantite PA 4b (perte osseuse < 50 % de la hauteur implantaire, avec ou sans cratère, défaut de 1 à 4 parois)

➜ la situation gingivale « GA » (Gingival Apprearance) : GA1 ou GA2, selon la présence ou l’absence de muqueuse kératinisée stable

➜ l’approche thérapeutique « RA » (Repairing Approach) : RA0 à RA4

➜ le degré de difficulté du traitement (degrés 1 à 5).

Un arbre décisionnel synthétique du traitement (RA) recommandé selon chaque situation osseuse (PA) et gingivale (GA) est proposée dans l’ouvrage.

 

2/ Quelle efficacité pour les techniques actuelles ?

On sait désormais que la thérapie non chirurgicale n’est pas suffisante pour traiter les péri-implantites : l’approche de débridement non chirurgical est efficace dans le traitement de la mucosite implantaire, mais pas prévisible dans le traitement de la péri-implantite (Suárez-López Del Amo, Yu & Wang, 2016).

En cas de mucosites, les procédures non chirurgicales comprennent :

  • le nettoyage mécanique des implants avec des curettes manuelles de carbone ou des inserts ultrasonores en téflon, ou par aéropolissage à la poudre de glycine
  • la décontamination chimique avec de la chlorhexidine ou de l’eau oxygénée.
  • des techniques innovantes telles que la méthode de thérapie au laser photodynamique

 

Concernant les péri-implantites, les thérapies chirurgicales combinées à la décontamination mécanique et chimique contribuent à la santé des tissus péri-implantaires.

  • les antibiotiques seuls associés à une approche non chirurgicale ne traitent pas la péri-implantite (Shibli et al 2019)
  • un traitement comprenant un débridement mécanique, suivi d’un aéropolissage poudre d’air avec de la glycine (fig. 7), suivi d’un conditionnement d’acide citrique ou d’eau oxygénée à 10 volumes avec un rinçage vigoureux de la surface implantaire à l’eau stérile après chaque étape, serait capable de décontaminer la surface infectée. (Rosen et al 2018)

formation dentaire laser

Figure 7: aéro polissage de la surface implantaire à l’aide d’une tête fine (Prophyflex Kavo), après élimination du tissu de granulation

  • l’utilisation de l’implantoplastie (technqiue mécanique) dans le traitement chirurgical non régénératif entraîne une diminution significative des saignements à la sonde et à la profondeur de sonde, et peut entraîner une amélioration des paramètres cliniques et radiographiques, jusqu’à 3 ans après la chirurgie par rapport au débridement mécanique seul. Cette technique n’entraine pas de risque de fracture sur les implants de diamètre standard (4mm) et large (4,7mm et plus). Sur les implants étroits (3.3 ou 3.5) il y a un risque de l’implant. (Khoury et al 2019).
  • la thérapie photodynamique (colorant photosensible et laser Diode de longueur d’onde située entre 600 nm et 800 nm) est une technique de décontamination chimique, complémentaire à une autre technique de débridement mécanique pour la décontamination de la surface de l’implant et des tissus péri-implantaires environnants (fig. 8 et 9). La PDT était associée à une diminution importante des interleukine IL 17 et IL 6 (p 0,05) par rapport à l’application de chlorhexidine.Il note une diminution plus importante de la profondeur de sondage avec la thérapie photodynamique. (Rakasevic et al, 2018)

formation dentaire laser

Figure 8: Colorant bleu photosensible (chlorure de phénothiazine à 1 %) laissé sur le site durant 1 minute avant l’activation du laser 660nm Helbo

formation dentaire laser

Figure 9: Fibre du laser Helbo 660nm en action, 1 minute par un implant sur 6 sites

  • Le laser Erbium YAG permet la décontamination mécanique efficace de la surface implantaire (fig. 10), l’élimination du tissu de granulation par effet photo-ablatif, et ceci sans endommager l’implant lorsqu’il est réglé sur une puissance adaptée (Eick, et al., 2017). Par ailleurs, un avantage non négligeable du laser est la facilité d’accès aux sites péri-implantaires détruits sans avoir besoin de déposer la restauration prothétique. En 2019, Birang compare cinq méthodes mécaniques (curette plastique), chimiques (CHX à 0,12 %), laser (diode 810 nm et Er : YAG), et thérapie photodynamique. Le laser Er : YAG et la curette en plastique obtiennent respectivement les effets les plus élevés et les plus faibles.

formation dentaire laser

Figure 10: Fibre du laser Er-YAG, (Syneron Light Touch) en action sur la surface implantaire, après élimination du tissu de granulation. Paramétrage 99 mJ, 50 Hz

  • En 2020, une nouvelle technique de traitement arrive dans l’arsenal : l’approche électrolytique (le Galvosurge) développée par Markus Schlee et collaborateurs. Selon les études faites in vitro et in vivo, il semble qu’avec le Galvosurge une ré-osséointégration complète dans les cas de péri-implantite semble possible (Schlee et al, 2019). Cette technique n’est toutefois applicable que sur un implant préalablement débarrassé de tout tissu de granulation, donc ne dispense pas de l’utilisation d’une technique efficace de nettoyage du site. Par ailleurs, elle n’est efficace que sur 8mm de longueur d’implant et impose de retirer la prothèse.

Quelle que soit la technique utilisée (dont l’efficacité est aussi praticien-dépendante), la clé du succès réside dans le choix de régénérer l’os ou non par un biomatériau et d’aménager ou non le contexte muqueux par une greffe de tissu mou. La greffe de conjonctif enfouie associée à l’une des techniques de décontamination est le choix thérapeutique répondant avec succès à beaucoup de situations cliniques. (Para 2019).

 

3/ Déroulement d’une séance de maintenance ?

A ce jour, il n’y a pas de consensus sur l’intervalle idéal de maintenance pour les soins adéquats des implants dentaires. L’intervalle raisonnable de maintenance pourrait être de 5 à 6 mois Par tous les moyens, la thérapie parodontale de soutien maintenance doit être personnalisée en fonction du profil de risque des patients. L’observance d’une maintenance péri-implantaire à 2 maintenances/an semble cruciale pour prévenir la péri-implantite chez les patients en bonne santé. Monje 2017

Une visite de maintenance implantaire s’appuie sur dix points de contrôle stratégiques développés dans l’ouvrage « Péri-implantites : approche thérapeutique », Parresia, 2019.

1) contrôle de plaque

2) Sondage péri-implantaire

3) Saignement ou suppuration

4) progression d’une récession

5) Mobilité

6) Occlusion

7) Points de contact

8) Test à la percussion

9) Radiographies

10) Instrumentation : détartrage supra gingival et polissage des cols implantaires, thérapie laser photochimique ou photodynamique selon l’aspect inflammatoire ou infectieux des tissus (fig. 11 à 13).

formation dentaire laser

Figure 11: Nettoyage ultrasonore de la surface implantaire à l’aide d’une pointe en téflon protégeant le lambeau actif des ultrasons

formation dentaire laser

Figure 12: Aéro polissage à l’aide d’une tête à irrigation latérale (EMS Piezzo Master)

formation dentaire laser

Figure 13: Vérification de l’espace disponible et de l’aptitude du patient à passer des brossettes

En conclusion, le traitement des péri-implantites progresse. On sait les traiter en 2020, à condition d’appliquer une démarche diagnostique méthodique, une approche thérapeutique adaptée et un suivi personnalisé. Un implant traité restera toujours un implant à risque.

En 2021, nous aurons un congrès entièrement dédié aux péri-implantites et à leur prévention! Le Congrès Oroface 2021.

Plusieurs experts traiteront de la péri-implantite sous toutes ses formes.

Que savons-nous en 2020 ? Comment diagnostiquer et prévenir la maladie péri-implantaire ? Il y a-t-il d’autres facteurs de risque à prendre en considération ? Quels sont les outils à notre disposition pour la traiter ? Comment maintenir les résultats obtenus ? La relation praticien-patient est elle affectée ?

Le 4eme congres Oroface qui se tiendra les 17 et 18 juin 2021 à Bandol abordera toutes nos préoccupations actuelles face à ce challenge clinique qui atteint désormais 1 million d’implants par an.

 

Retrouvez Amandine lors de notre formation Laser : Son utilisation en omnipratique – les 7 & 8 octobre prochains !

Panier

()

Date : -

-
+
PROCÉDER À LA COMMANDE Continuer vos achats