PRISE EN CHARGE D’UN TROUBLE DE L’OCCLUSION

Par Christophe Ghrenassia, chirurgien-dentiste sur Toulouse et conférencier

 

 

Cas concret d’une patiente de 30 ans qui consulte en 2013 pour des craquements non algiques de l’ATM droite lors des mouvements d’ouverture et de la mastication.

Le questionnaire médical et l’examen clinique révèlent une occlusion de classe 1 qui ne se fait que sur les prémolaires, des cervicalgies et des dorsalgies associées à des otalgies droites ponctuelles.

 

Prise en charge des PATHOLOGIES OCCLUSALES & POSTURALES Prise en charge des PATHOLOGIES OCCLUSALES & POSTURALES Prise en charge des PATHOLOGIES OCCLUSALES & POSTURALES

 

Les palpations musculaires mettent en évidence une contraction asynchrone des masséters (le gauche se contractant avant le droit) et des douleurs au niveau du temporal droit, du masséter gauche et du sterno-cleido-mastoidien droit.

Diagnostic : La patiente souffre d’une dysocclusion avec luxation discale réductible précoce.

Il est procédé à une analyse occlusale plus fine (système K7 myotronic) à l’issue de laquelle une relation inter arcade thérapeutique est obtenue.  La DVO est augmentée avec une position plus antérieure et plus à droite qu’en PIM.

 

Prise en charge des PATHOLOGIES OCCLUSALES & POSTURALES PRISE EN CHARGE D'UN TROUBLE DE L'OCCLUSION PRISE EN CHARGE D'UN TROUBLE DE L'OCCLUSION

 

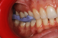
Cette RIA thérapeutique est enregistrée à l’aide de silicone d’occlusion et des orthèses mandibulaires sont réalisées dans cette position.

 

Prise en charge des PATHOLOGIES OCCLUSALES & POSTURALES PRISE EN CHARGE D'UN TROUBLE DE L'OCCLUSION PRISE EN CHARGE D'UN TROUBLE DE L'OCCLUSION

 

Les orthèses permettent de tester et valider la position. Après 2 mois de port les symptômes ont disparu et la patiente se sent bien. Dès que la patiente enlève les orthèses (pour les repas notamment) les craquements reviennent.

La patiente déclare également se sentir « plus stable » avec ses orthèses. Pour objectiver cela, nous réalisons une analyse de la posture statique. Nous enregistrons sur l’ordinateur la projection du centre de gravité du patient au sol (statokinésigramme).

PRISE EN CHARGE D'UN TROUBLE DE L'OCCLUSION

Prise en charge des PATHOLOGIES OCCLUSALES & POSTURALES

 

Nous pouvons effectivement ici constater l’amélioration de la posture statique.

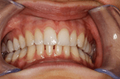
Nous décidons donc de stabiliser la RIA thérapeutique en passant par une phase de réhabilitation prothétique, la patiente ne souhaitant pas avoir recours à l’ODF et ne voulant pas rester avec les orthèses.

 

Prise en charge des PATHOLOGIES OCCLUSALES & POSTURALES PRISE EN CHARGE D'UN TROUBLE DE L'OCCLUSION PRISE EN CHARGE D'UN TROUBLE DE L'OCCLUSION

 

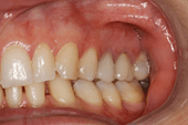
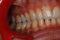
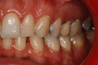
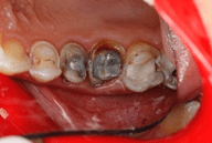
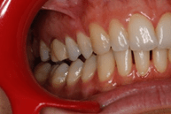
Le guide antérieur étant présent et la capacité à inciser préservée, seules les dents postérieures ont été réhabilitées.

 

Prise en charge des PATHOLOGIES OCCLUSALES & POSTURALES Prise en charge des PATHOLOGIES OCCLUSALES & POSTURALES Prise en charge des PATHOLOGIES OCCLUSALES & POSTURALES

 

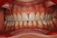
Dans la prise en charge des patients présentant des pathologies occlusales et des symptômes la prise en charge doit en premier lieu êre guidée par la fonction plutôt que par l’esthétique. Une fois la RIA thérapeutique validée la réhabilitation se fait de manière conventionnelle l’esthétique et la fonction allant de pair.

En suivant la validation des étapes les unes après les autres et en gardant en permanence les repères validés nous rendons ainsi des traitements qui peuvent paraitre complexes, simples.

 

Panier

()

Date : -

-
+
PROCÉDER À LA COMMANDE Continuer vos achats