RÉHABILITATION COMPLÈTE : étape par étape

PRÉSENTATION

Le patient âgé de 57 ans est demandeur d’une solution globale pour réhabiliter sa bouche.

Pour élaborer le plan de traitement, nous suivons toujours le même chemin :
–  discussion avec le patient pour connaître ses souhaits, désirs, limites en termes de traitement
– planification esthétique en utilisant l’outil Digital Smile Design (DSD)
– planification occlusale, recherche de la position mandibulaire adéquate afin de déterminer la quantité de tissus dentaires détruits. Pour cela nous utilisons le TENS et une plaque de KOÏS
– diagnostic du parodonte et des dents supports.

Pour les étapes de plan de traitement, nous procéderons de la manière suivante :
– détartrage, polissage de toutes les dents
– mise en bouche du mock-up complet
– préparation et réalisation des provisoires
– les provisoires seront laissées en bouche pour validation de la nouvelle occlusion
– intégration de concept de dentisterie minimalement invasive.

Le patient(comme la majorité des patients) présente une légère asymétrie, nous décidons de prendre comme ligne de référence la ligne verticale glabella-philtrum.

Le protocole DSD (Digital Smile Design) est réalisé et nous déterminons la longueur, largeur, position idéales des futures dents.

formation dentaire Gad Centerformation dentaire Gad Center

Fig. 1 : l’étude esthétique se fait digitalement. Nous prenons les
photographies et vidéos qui vont nous permettre de faire
l’étude esthétique.

formation dentaire Gad Center

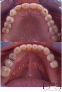
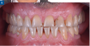
Fig. 2 : nous pouvons observer une usure importante des dents antérieures maxillaire et mandibulaire, ainsi qu’une absence des molaires secteurs 2, 3, 4.
La réhabilitation de ces supports se fera par pose d’implants avec une greffe sinusienne secteur 2.

formation dentaire Gad Center

Fig. 3 : nous décidons d’augmenter la dimension verticale pour éviter des préparations trop mutilantes(concept de dentisterie minimalisent invasive). Pour cela nous utilisons une plaque de Kois que nous réglons jusqu’à obtenir l’espace nécessaire pour les réhabilitations antérieures mais aussi postérieures. Pendant cette séance, un electro-stimulateur (TENS) est positionné au niveau des muscles masticateurs afin de déprogrammer le patient mais aussi de relaxer les muscles spasmés.

formation dentaire Gad Center

Fig. 4 : les étapes suivantes sont :
– réalisation du wax up par le laboratoire à la nouvelle dimension verticale
– réalisation du mock-up maxillaire et mandibulaire
– préparation des dents à travers les mock-up, pour un maximum de conservation d’émail, dans cette même séance les implants ont été posés avec des vis de cicatrisation.

formation dentaire Gad Center

Fig. 5 : par secteur, nous enregistrons l’occlusion avec la plaque de Koïs et du silicone d’occlusion. Les empreintes en silicone double mélange sont prises et nous demandons au laboratoire de prothèse les couronnes et facettes provisoires.

formation dentaire Gad Center

Fig. 6 : mise en bouche des couronnes provisoires.

formation dentaire Gad Center

Fig. 7 : validation fonctionnelle parles provisoires, l’équilibration de l’occlusion se fait en statique (le patient claque des dents), à la mastication (le patient mâche le papier articulé comme un chewing-gum), en dynamique (nous demandons au patient de faire une latéralité droite et gauche et une propulsion).

formation dentaire Gad Center

Fig. 8 : la validation esthétique se fait grâce à la photographie du sourire, du visage ainsi qu’à la vidéo pour observer la dynamique des lèvres.

formation dentaire Gad Center

Fig. 9 : 6 mois après, la greffe sinusienne est cicatrisée, les implants sont ostéo intégrés, les empreintes définitives sont alors prises.

formation dentaire Gad Center

Fig. 10 : le laboratoire de prothèse réalisent des céramiques Empress cad pour les dents antérieures, qui sont usinées et maquillées. Les couronnes sur implants sont transvissées, les prémolaires sont réalisées en Emax pressées maquillées.

formation dentaire Gad Center

RÉHABILITATION COMPLÈTE : étape par étape

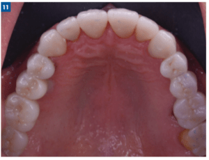
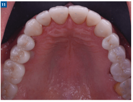
Fig. 11, 12, 13 et 14 : vues finales des restaurations.

CONCLUSION

Nos traitement doivent être esthétiques et fonctionnels mais surtout biologiques. La biologie est d’une part dans la position mandibulaire choisie mais aussi dans la dentisterie minimalement invasive. Les réhabilitations de grandes étantes peuvent
sembler parfois complexes. Nous devons être architecte avant d’être clinicien, c’est à dire nous devons esquisser, planifier nos plans de traitement puis les exécuter.

Remerciements au laboratoire Dental Numérique et Global Esthetic.

Panier

()

Date : -

-
+
PROCÉDER À LA COMMANDE Continuer vos achats