MIH, état des lieux et thérapeutiques

Dr Camille Laulan, dentiste spécialisée en pédodontie et conférencière

 

Introduction

Le terme de MIH est apparu dans la littérature en 2001. Cela signifie : Molar Incisor Hypomineralisation. Comme son nom l’indique il s’agit d’un défaut qualitatif de la minéralisation de l’émail touchant au moins une première molaire permanente, et selon la sévérité, associé ou non, à une hypominéralisation des incisives. Selon l’importance de l’atteinte on pourra également retrouver des hypominéralisations sur les 2ème molaires et les canines permanentes dans 5 et environ 30% des cas.
Il n’y a pas de différences hommes/femmes et la prévalence mondiale est environ de 15% (1). Même si la prévalence varie en fonction des pays, les biais de mesures en fonction des études peuvent être incriminés. De plus, des traces de MIH ont aussi été relevé sur des populations du moyen-âge (2). Cette pathologie est certes identifiée, et de ce fait plus diagnostiquée, mais elle ne date pas d’hier. Les causes sont très complexes, et multifactorielles. Toutefois, on pourra retenir des prédispositions génétiques auxquelles vont s’ajouter des mécanisme de régulation très complexes et une influence de l’environnement.

 

Tableau Clinique

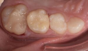
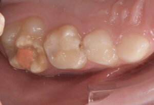
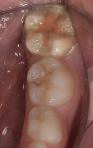
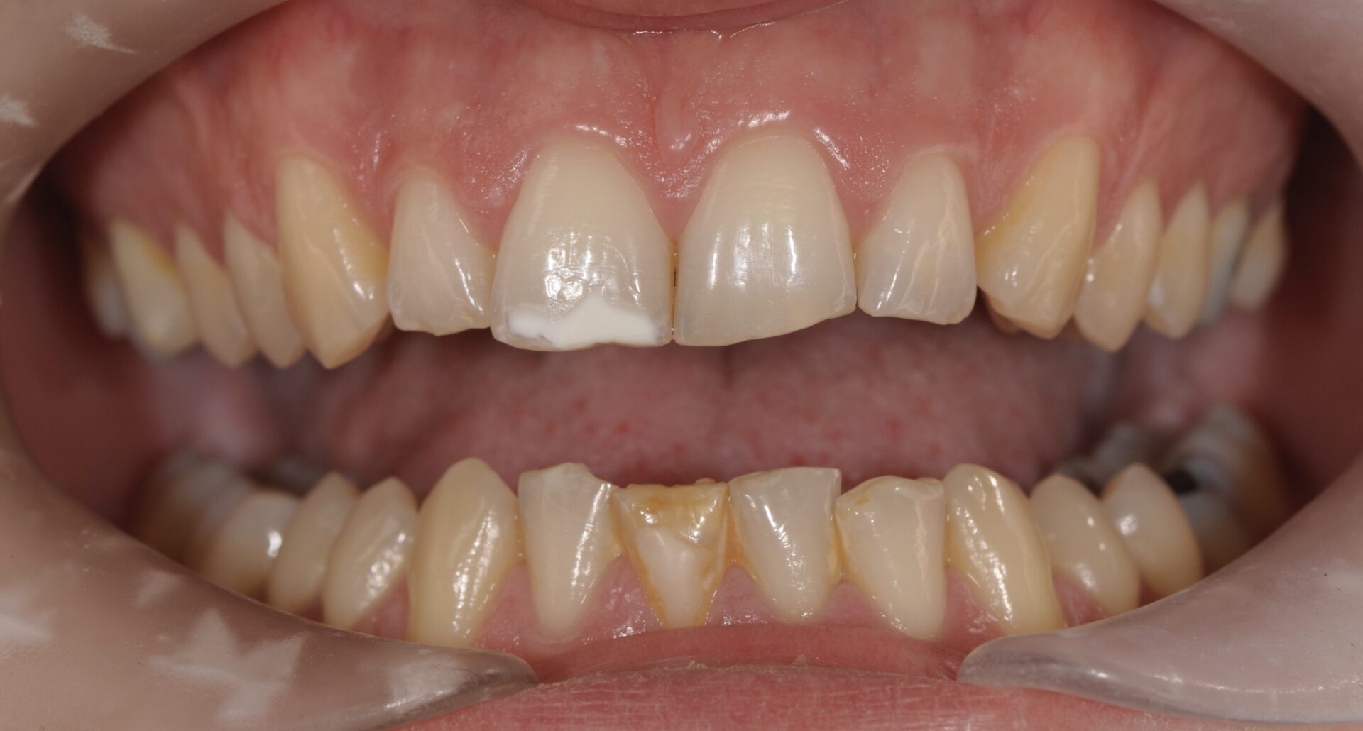
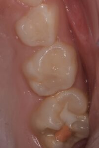
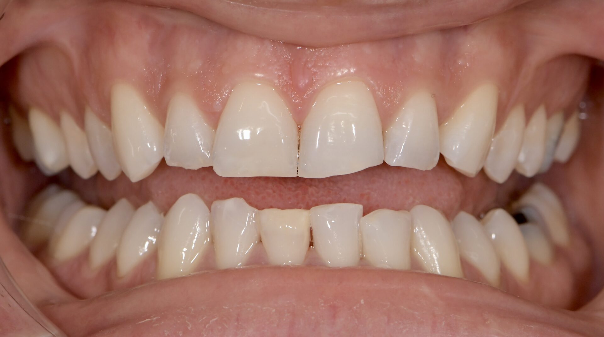
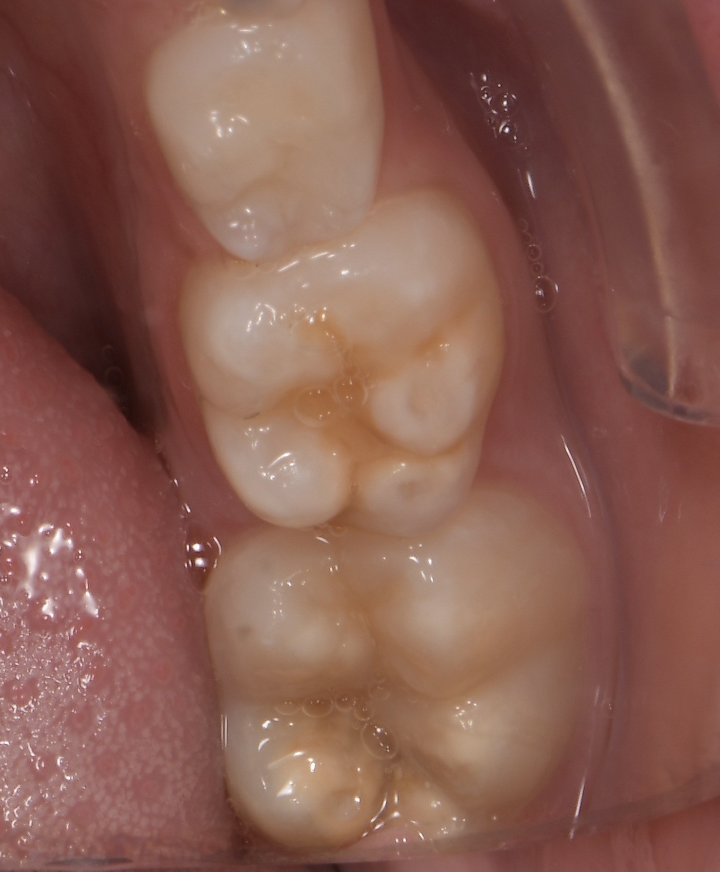
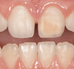
Le congrès de l’EAPD (Académie Européenne d’Odontologie Pédiatrique) a défini des critères de diagnostic en 2003. A savoir des opacités délimités, des fractures post-éruptives, des restaurations atypiques ainsi que que des extractions des molaires. (3) Le diagnostic différentiel doit surtout s’établir entre des amélogénèses imparfaites et des hypominéralisations d’origine traumatique pour les dents antérieures. Cliniquement, les dents vont présenter des colorations blanches ou brunes opaques sur une partie ou sur toute la surface de la dent (Figures 1-2-3-4).

formation dentaire pédodontie Figure 1.

 

MIH, état des lieux et thérapeutiques Figure 2.

 

formation dentaire pédodontie Figure 3.

Cette atteinte peut être soit légère (émail blanc, opaque), soit modérée (coloration jaune, brune, surface crayeuse et effondrement postéruptif de l’email ou PEB) ou enfin sévère (atteintes associées à des pertes de substances importantes). De plus, l’intégrité de la dent peut être aussi touchée. Plus la MIH est sévère et plus le manque d’émail sera important donc plus les sensibilités/douleurs seront importantes aussi. Cette sévérité varie en fonction des personnes, mais également au sein des dents d’un même individu : on parle d’atteinte asymétrique. Toutes les dents ne sont pas toutes touchées de la même façon, et ne nécessiteront donc, pas les mêmes types de soin.
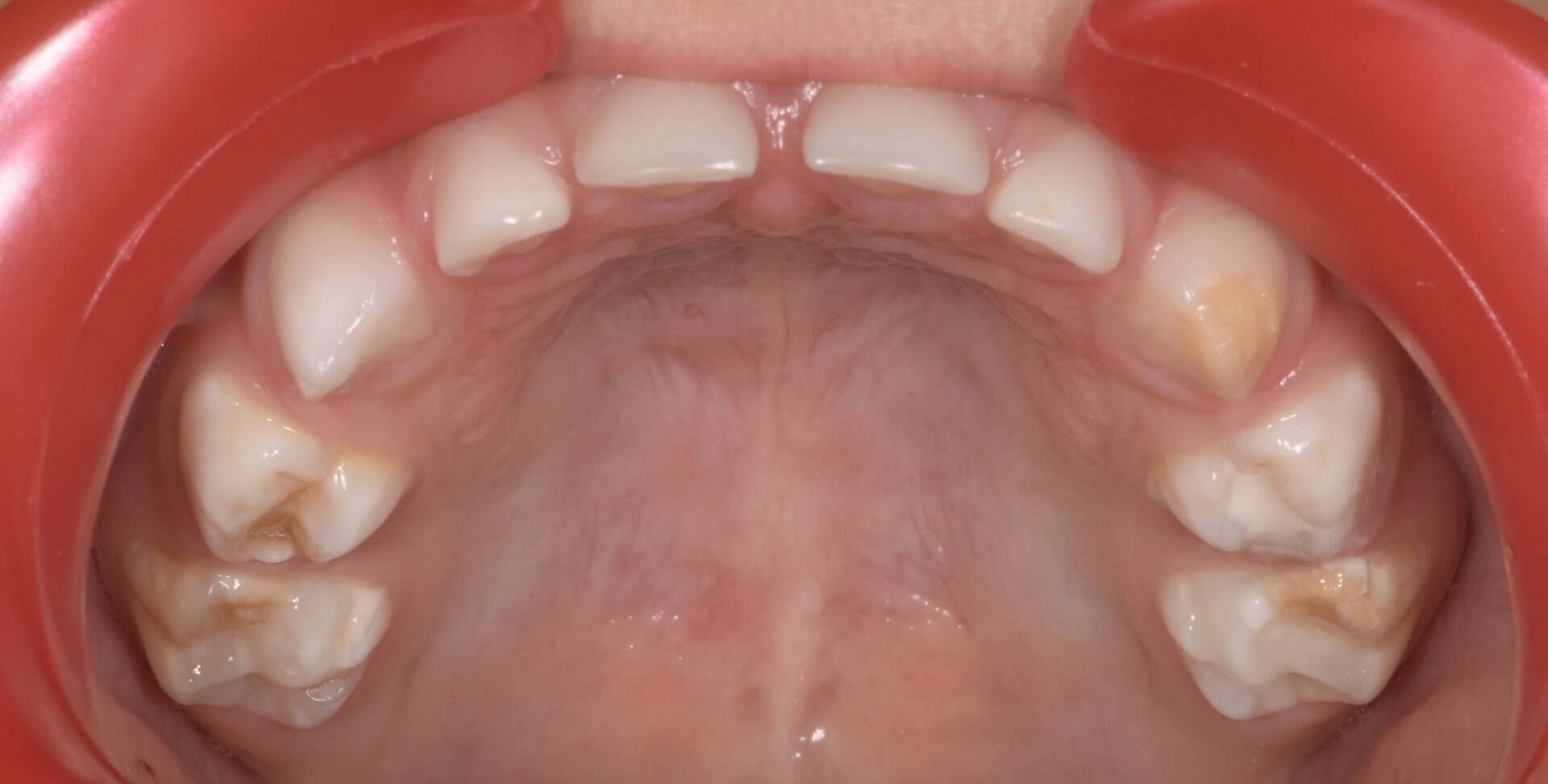
L’équivalent en denture temporaire est appelée HSPM pour Hypomineralised Second
primary Molar (Figures 5-6) (4).

formation dentaire pédodontie Figure 5.

 

formation dentaire pédodontie Figure 6.

Un enfant présentant une HSPM a 5 fois plus de risques de présenter également une MIH en denture permanente.

 

Thérapeutiques

 

1. Protéger

Les dents atteintes de MIH, sont plus poreuses, plus sensibles et donc forcément plus
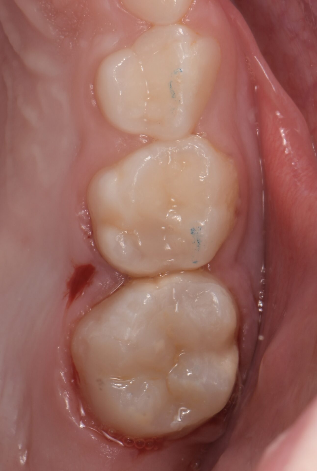
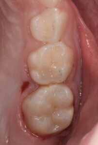
sujettes aux atteintes carieuses. Il faut donc impérativement protéger ces dents et utiliser tous les moyens de prévention à notre disposition à ce jour. En plus, d’une hygiène alimentaire et bucco-dentaire adapté, des fluorations régulières au fauteuil, et des scellements de sillons peuvent et doivent, être mis en place très tôt. Même lorsque l’éruption des 6 n’est pas complète des techniques de scellement de sillons au CVI en technique « finger-press » sont très intéressantes en attendant des restaurations plus conventionnelles (Figure 7) (5).

formation dentaire pédodontie Figure 7.

Des thérapeutiques de désensibilisation en ambulatoire à l’aide de CPP-ACP (Tooth Mousse, MI Passe plus), permettent de déminéraliser l’émail et de diminuer les sensibilités (6). Enfin, des contrôles plus réguliers vont être nécessaires, tous les 3 à 6 mois afin d’intervenir le plus tôt possible (protéger, réparer, soigner…) et ne pas laisser une situation se dégrader.

2. Soigner

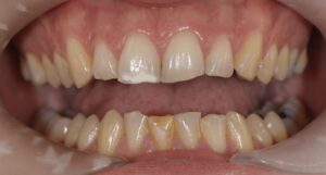
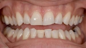
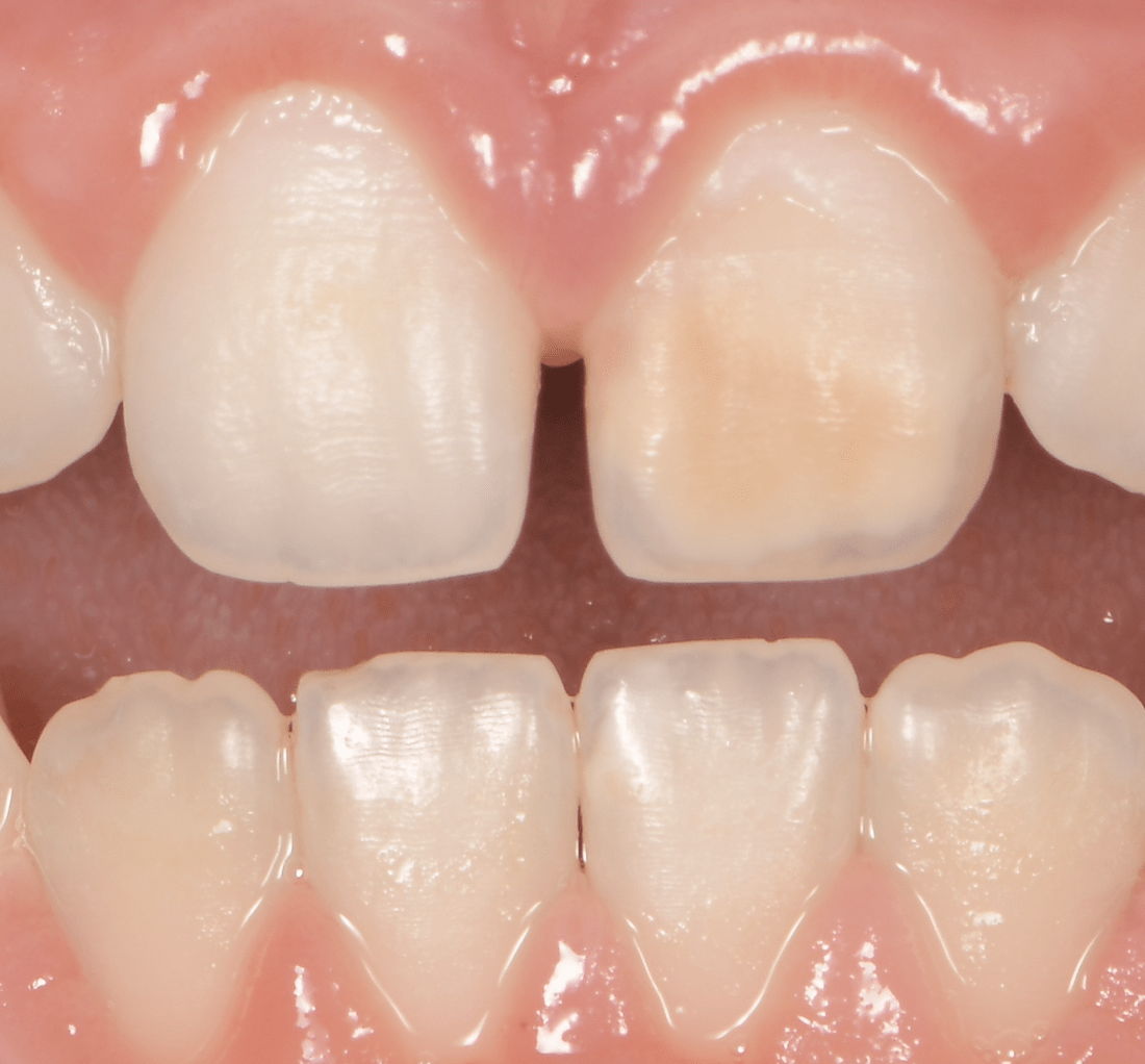
Si en antérieur, le préjudice esthétique n’est pas trop important et qu’il n’y a pas de perte de substance, il est conseillé d’attendre la majorité afin de réaliser un éclaircissement suivi de la technique d’érosion infiltration (ICON), plus ou moins une stratification de composite esthétique (Figures 8-9-10).

formation dentaire pédodontie Figure 8.

formation dentaire pédodontie Figure 9.

formation dentaire pédodontie Figure 10.

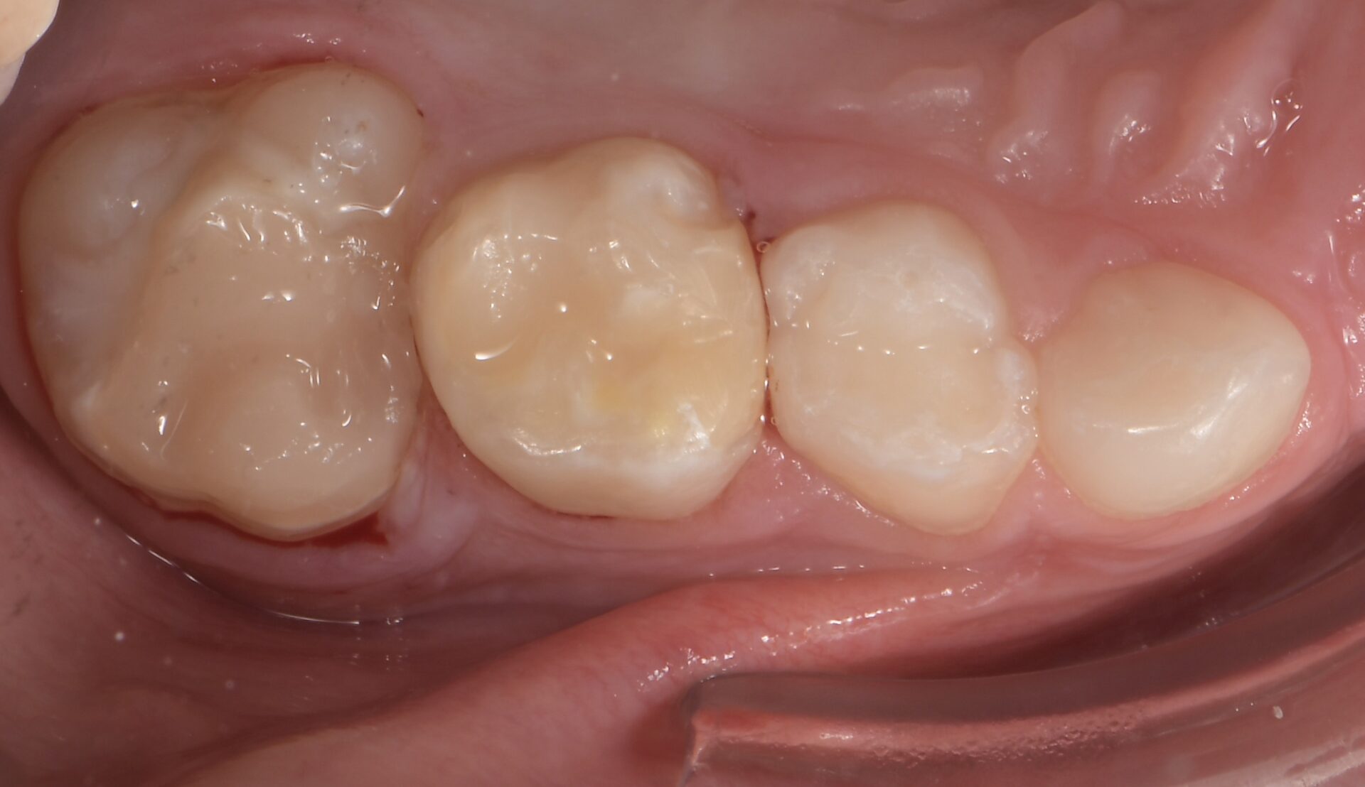
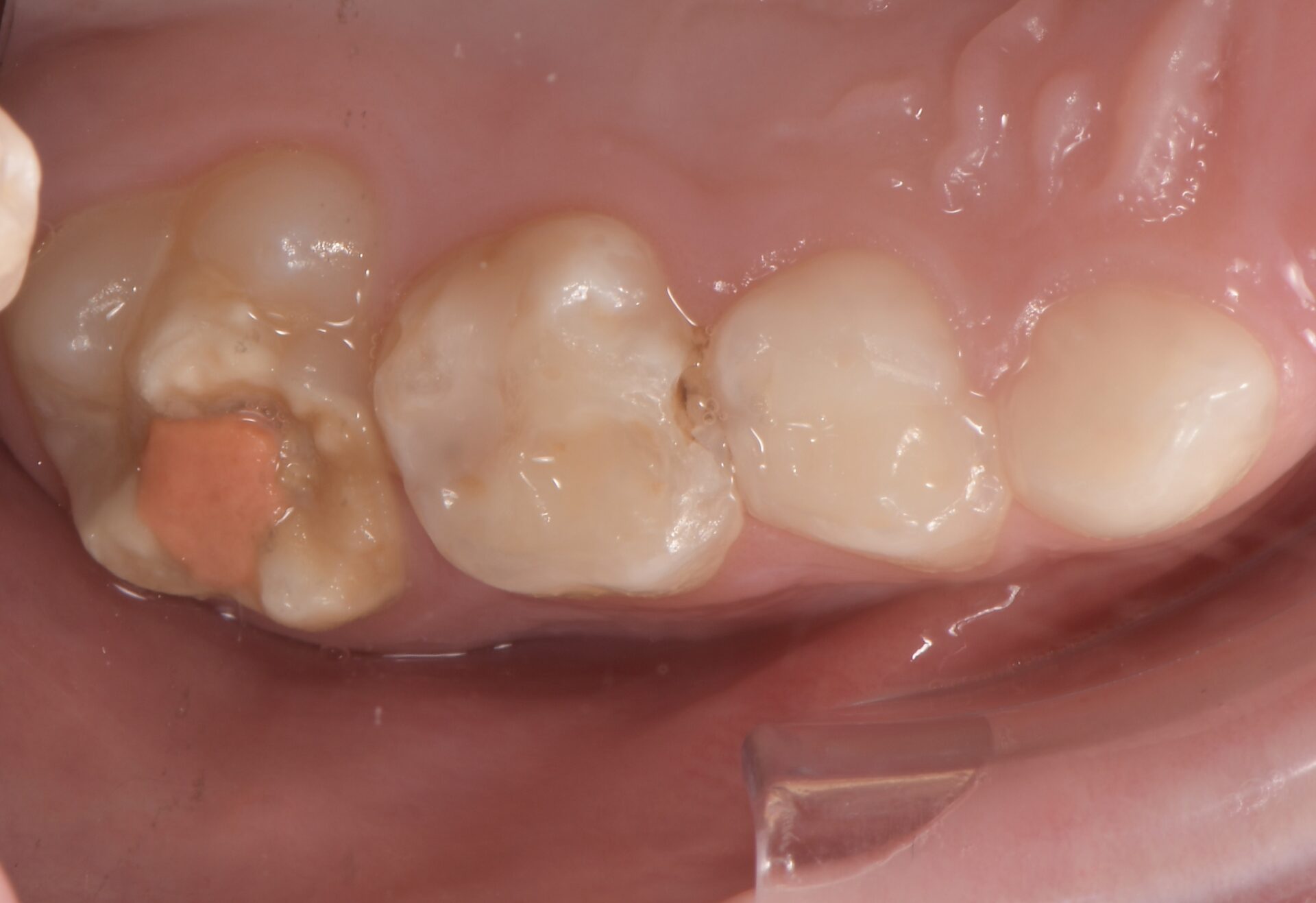
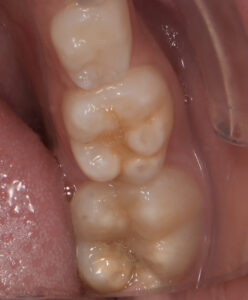
Pour les secteurs postérieurs, en fonction du délabrement tissulaire (PEB ou consécutif à une atteinte carieuse), on optera pour des restaurations directes en composite (Figures 11-12).

formation dentaire pédodontie Figure 11.

formation dentaire pédodontie Figure 12.

ou indirectes de type onlay en céramique (Figures 13-14-15).

formation dentaire pédodontie Figure 13.

formation dentaire pédodontie Figure 14.

formation dentaire pédodontie Figure 15.

Même si en pédodontie, pour les restaurations indirectes, le composite est assez plébiscité, le fait de réaliser ces onlays directement en céramique, permet non seulement, de ne pas réintervenir à l’âge adulte, mais également de ne pas avoir d’égression passive ou de perte de DV à cause de l’usure prématurée du composite. De plus, si des thérapeutiques d’orthodontie doivent être mises en oeuvre pendant la coirssance, le collage sur de la céramique n’est plus un problème. On notera toutefois qu’une dent atteinte de MIH, n’a pas les même propriétés chimiques qu’une dent saine. Si la composition en elle même reste inchangée, il existe une diminution du contenu minéral (prismes d’émail plus aplatis) et une augmentation du contenu protéique (7). Si des protocoles de collage doivent s’effectuer sur de l’émail non sain, déportéiniser à l’aide
d’hypochlorite pendant 1 min après le mordançage augmente les valeurs d’adhésion.

3. Extraire

La décision d’extraction est la dernière alternative mais il est important de l’envisager en cas de délabrement très important des 6. Cette solution doit se prendre de concert avec un orthodontiste, ceci en fonction de la classe squelettique du patient, ou encore bien entendu, de la présence de germes des dents de sagesse. Leur absence, ou encore un patient hypodivergent, vont contre-indiquer cette solution. Si elle est retenue il conviendra, avant d’extraire les 6, d’attendre la formation de la furcation des 7, pour favoriser leur translation ainsi que celle des 8. L’âge idéal étant donc entre 8 et 11 ans.

 

Conclusion

Les patients ayant cette pathologie présentent des hypersensibilité importantes entrainant en plus des difficultés d’anesthésie. Au préjudice esthétique antérieur s’ajoute un risque carieux plus élevé ainsi que des échecs thérapeutiques (adhésion, fracture…). Cela engendre une anxiété majorée chez ses patients qui ont 10 fois plus de soins que la moyenne. Pour toutes ces raisons, cette pathologie est considérée comme un problème de santé publique par de nombreux pays. Les thérapeutiques sont principalement tournées vers la prévention et un suivi rigoureux afin de mettre en place les solutions adaptées au moment opportun. En fonction de la sévérité, cela allant de simples protocoles de fluorations jusqu’à l’extraction des dents concernées. Le dépistage est donc important, lors du diagnostic d’un patient il conviendra d’examiner la fratrie ainsi que les parents.

 

 

Table des figures:
Figures 1-2 : Incisives centrales atteintes de MIH
Figure 3-4 : Molaires atteintes de MIH (HSPM + MIH pour la figure 3)
Figure 5-6 : Arcades maxillaire et mandibulaire d’un enfant atteint de HSPMfF
Figure 7 : Scellement de sillon au CVI (triage rose) ayant permis d’attendre l’éruption complète
(sans atteinte carieuse, contrairement à 4 présentant une atteinte occlusale)
Figures 8-9-10 : Traitement antérieur, éclaicissemet bouche complète, ICON et stratification de
composite sur 11 (l’éclaircissement ayant suffit pour la 41)
Figures 11-12 : Taitement postérieur par résine composite.
Figures 13-14-15 : TraitemEnt postérieur par onlay céramique.

Biblio :
1- Zhao et al. The prevalence of molar incisor hypomineralisation : evidence from 70 studies. Int J Paediatr Dent 2018; 170-9
2 – Garot E, Couture-Veschambre C, Manton D, Beauval C, Rouas P. Analytical evidence of enamel hypomineralisation on permanent and primary molars amongst past populations. Sci Rep 2017; 7: 1712
3 – Weerheijm KL, Duggal M, Mejàre I, Papagiannoulis L, Koch G, Martens LC, Hallonsten AL Judgement criteria for Molar Incisor Hypomineralisation (MIH) in epidemiologic studies : a summary of the European meeting on MIH held in Athens, 2003. Eur J Paediatr Dent 2003; 3: 110-3
4 – Elfrink et al. Hypomineralised second primary molaras: prevalence data in Dutch 5-year-olds. Caries Res. 2008; 42(4): 282-5
5 – Bekes K, Amend S, Priller J, Zamek C, Stamm T, Krämer N. Hypersensitivity relief of MIH affected-molars using two sealing techniques: a 12-week follow-up. Clin Oral Investig 2021 Sep
6 – Bakkal M, Abbasoglu Z, Kargul B. The effect of casein phosphopeptide-amorphous calcium phosphate on molar-incisor hypomineralisation: a pilot study. Oral Health Prep. Dent. 2017; 15: 163-7
7 – Farah RA, Swain MV, Drummond BK, Cook R, Atieh M, Mineral density of hypomineralised enamel. J Dent 2010 Jan;38(1):50-8

Panier

()

Date : -

-
+
PROCÉDER À LA COMMANDE Continuer vos achats